


近期,山东大学齐鲁医院(青岛)神经内科成功为一位脑脊液漏导致的低颅压头痛患者进行了介入靶向脑脊液漏修补术。该手术为青岛地区首例独立开展的靶向脑脊液漏修补术。

3个月前,一向健康的赵女士开始“头痛”。这头痛有些特别:躺着不痛,但是坐起或站起后头痛会出现。这导致赵女士不能长时间站立,严重影响了日常生活和工作。赵女士在外院求医时,颅脑MRI强化提示“硬脑膜强化明显”,因此被诊断为“低颅压综合征”,尽管采取了卧床补液治疗等保守治疗,她的体位性头痛症状并没有改善;到底是什么原因引发了她的“低颅压”呢?
在得知山东大学齐鲁医院(青岛)神经内科开设低颅压专病门诊后,赵女士专程前来就诊。苗萌主治医师回顾了赵女士的病史及既往检查资料,发现她的临床症状和影像学表现均十分典型,符合低颅压综合征的诊断,体位性头痛和硬脑膜强化均由于低颅压造成。
那低颅压的原因是什么呢?医生为她安排了脊髓水成像检查——这是一种无创的磁共振检查方法,可以确定是否存在脑脊液漏及其位置。脊髓水成像结果提示,赵女士的确存在脊髓脑脊液漏,漏点在颈胸交界段。正是这些漏口的存在,使得赵女士的体位性头痛很难依靠单纯的补液保守治疗而痊愈。这种情况下,手术修补是最有效的方法。

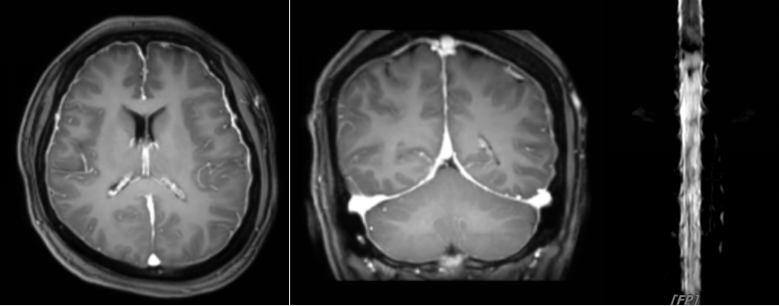
患者术前颅脑MR(左2)可见脑膜明显强化,并存在脑脊液漏(右1,脊髓水成象)
听说自己的顽固体位性头痛可以通过手术完全治愈,赵女士非常积极地要求手术治疗。苗萌主治医师反复研究脊髓水成像结果,精准定位脑脊液漏的位置,精确到节段,运用“硬膜外自体血贴片术”为赵女士进行了介入下靶向脑脊液漏修补术。整个治疗过程非常顺利。术后1周,赵女士的头痛就已经完全消失;术后1月复查脊髓水成像,脊髓脑脊液漏已经消失,脑膜强化也明显减轻。

患者术后复查颅脑MR(左2)可见脑膜强化明显减轻,脑脊液漏消失(右1,脊髓水成象)
这是青岛地区首例独立成功开展的靶向脑脊液漏修补术。
低颅压综合征的特征性表现是体位性头痛,即躺着不痛、起身后出现头痛,平卧后症状可以快速减轻或消失。它不仅会严重影响患者的工作及日常生活,甚至还会导致硬膜下出血而危及生命。
脊髓脑脊液漏是该病常见的原因。该病的保守治疗方法有卧床休息、大量补液、口服药物等。但如果存在脊髓脑脊液漏,仅仅靠保守治疗很难治愈,演变成长期慢性头痛后还可能被误诊为焦虑抑郁等疾病。手术治疗是目前治疗脊髓脑脊液漏最有效的方式。根据术前确定的脑脊液漏位置,将少许患者本人的血液注射到脑脊液渗漏处的硬膜外间隙,封闭漏口,即“硬膜外自体血贴片术”。这是一种安全、有效的技术,可以有效缓解低颅压综合征的症状。
山东大学齐鲁医院(青岛)神经内科是中国脊髓脑脊液漏修复联盟单位,在岛城开设了首个低颅压专病门诊,可以通过脊髓水成像及脊髓造影等方式明确脑脊液漏位置,并常规开展靶向脑脊液漏修补术,以期为更多低颅压综合征患者解除病痛。