


全身皮肤巩膜被染成“小金人”
胆道被恶性肿瘤严重堵塞
面对总胆红素超标20多倍、生命垂危的老人
北京大学人民医院青岛医院多学科团队
展开了一场与时间的赛跑
北京大学人民医院
肝胆外科朱卫华主任主刀
肝病科饶慧瑛主任团队、影像学王屹主任精准研判
在青岛医院消化内科、普外科通力协作下
成功为患者解除病痛
这不仅是一次高难度手术的成功
更是国家区域医疗中心建设成效的生动体现
“国家队”医疗资源下沉
让岛城市民在家门口就能享受到国内顶尖诊疗服务
黄疸背后暗藏“隐形杀手”

今年10月初,67岁的张先生(化名)来到北京大学人民医院青岛医院消化内科就诊,全身皮肤和眼白泛黄。消化内科执行主任彭利军接诊后,发现患者不仅全身黄染,还伴有尿色加深、食欲减退等症状。
“这是典型的梗阻性黄疸表现,必须查明原因。”专家敏锐地意识到,这很可能不是普通的肝病,而是恶性疾病引起的胆道梗阻。

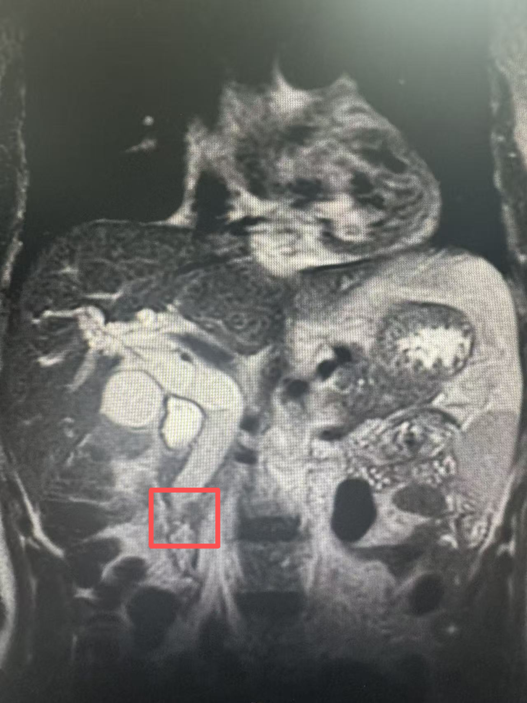
生化检验及影像学检查(增强CT及磁共振)结果证实了专家的担忧:患者总胆红素高达426.8umol/L,超过正常值20倍以上,肝脏功能已严重受损。同时,患者肝内外胆管严重扩张,胆总管下段梗阻,高度怀疑壶腹部占位性病变。

△标红处为肿瘤占位
多学科协作破译肿瘤密码
壶腹部早期肿瘤诊断历来是难点。壶腹部解剖位置深,早期病变影像学表现不典型,就像在漫长车流里找一个小故障点,需要火眼金睛精准诊断。
在关键时刻,北大人民青岛医院启动了多学科会诊机制。北京大学人民医院肝病科饶慧瑛专家团队深入排查了可能病因,为明确诊断方向提供了重要指导。影像科专家王屹教授仔细研判影像资料,精准分析了肿瘤与周围组织的解剖关系,为手术方案的制定提供了关键依据。

消化内科团队迎难而上,为患者实施内镜下逆行胰胆管造影(ERCP),成功放置鼻胆引流管,将淤积的胆汁引出体外。更关键的是,通过ERCP取活检,病理诊断最终确诊为(十二指肠乳头)中-低分化腺癌。这一精准诊断为此后的根治手术奠定了坚实基础。
挑战“外科手术皇冠上的明珠”
确诊后,治疗的核心转向了根治性手术:胰十二指肠切除术。

△北京大学人民医院肝胆外科朱卫华主任每周常态化在青岛医院开展工作
“这是普外科领域最复杂、创伤最大的手术之一,手术需要切除胰头、十二指肠、胆总管、胆囊和部分胃等多个重要器官,然后进行胰肠、胆肠和胃肠的精密吻合重建。”普外科专家解释,手术区域解剖结构复杂,涉及重要血管,切除范围广,术后并发症发生风险高,因此被誉为外科手术皇冠上的明珠。

面对患者高龄且合并冠心病的特殊情况,手术风险成倍增加。但普外科团队经过充分术前讨论,认为根治性手术是让患者获得长期生存的唯一机会。
北京大学人民医院肝胆外科专家朱卫华主任凭借丰富的经验和精湛的技术,仅用3小时就成功完成了根治性胰十二指肠切除术+腹主动脉旁淋巴结切除术,在完整切除肿瘤的基础上,重建消化道的通路。目前患者恢复良好,即将康复出院。
专家简介

朱卫华
坐诊时间:每周天下午坐诊(具体坐诊时间以门诊排班为准)
挂号科室:北大知名专家门诊-肝胆外科专家门诊
主任医师,医学博士,北京大学人民医院青岛医院肝胆外科学科主任,民盟北医委员会人民医院支部副主任委员民盟中央第十三届卫生与健康委员会委员。2000年毕业于北京大学医学部,2005年获北京大学医学博士学位,2012年赴美国克利夫兰医学中心学术交流。从事肝胆胰肿瘤的手术及综合治疗,门静脉高压症的外科治疗,肿瘤的微创治疗,以及肝脏移植。目前担任中国医师协会外科分会胆道学组青年委员,中国研究型医院加速康复外科专委会胆道分会委员,海峡两岸医药卫生交流协会肝胆胰外科专业委员会委员,中国医疗健康促进会肝胆胰外科分会委员,国家卫生健康委能力建设和继续教育外科学专家委员会胆道专业委员会委员,北京健康促进会门静脉高压多学科专家委员会副主任委员:参加了《肝胆外科手术围手术期液体治疗》的编写和人民卫生出版社国家医学教育题库外科学的命题,《肝脏移植图谱》、《克氏外科学》的翻译。在Cell、Biochem Biophys Res Commum和ChineseJCancer Res等杂志以第一作者或共同作者发表多篇SCI文章。先后参加多项卫生部重大科研项目的研究以及肝疫苗的1期临床药物试验。
擅长:肝胆胰恶性肿瘤、胃癌、结直肠癌、门脉高压症,普外科常见病(胆囊结石、胆囊息肉、肝囊肿、疝气以及胃肠道常见良性肿餷报京叶)的诊治。

饶慧瑛
坐诊时间:肝病科团队每周四、周五坐诊(具体坐诊时间以门诊排班为准)
挂号科室:北大知名专家门诊-肝病科专家门诊
主任医师,二级教授,博士研究生导师,北京大学肝病研究所所长,北京大学人民医院感染与肝病中心副主任,首届国之名医-青年新锐,北京大学杰出青年医师。中华预防医学会促进消除病毒性肝炎工作委员会副主任委员,中华医学会肝病学分会委员、脂肪肝和酒精性肝病学组副组长,北京医学会肝病学分会副主任委员、丙型肝炎学组副组长,北京中西医结合学会肝病专业委员会副主任委员。从事各种肝脏疾病的诊治,特别是难治性丙型肝炎和乙型肝炎的抗病毒治疗、自身免疫性肝病和终末期肝病的诊治。重点研究方向包括:丙型肝炎的治愈,乙型肝炎的临床治愈,自身免疫性肝病的诊疗,脂肪性肝病的发病机制及诊治研究,肝纤维化、肝硬化、肝癌的筛查及随访。
擅长:病毒性肝炎、自身免疫性肝病、脂肪肝、肝硬化、肝癌及疑难肝病的诊治。

封波
坐诊时间:肝病科团队每周四、周五坐诊(具体坐诊时间以门诊排班为准)
挂号科室:北大知名专家门诊-肝病科专家门诊
医学博士,主任医师,教授,博士研究生导师,北京大学肝病研究所副所长,北京大学人民医院肝病科副主任(主持工作),北京大学人民医院感染与肝病中心副主任。中华医学会肝病学分会自身免疫性肝病学组委员,中日医学科技交流协会消化病学分会常委兼秘书长,海峡医药交流协会银屑病专委会常委,中国免疫学会自身免疫分会常委,中国研究型医院学会肝病专业委员会肝纤维化学组委员,北京市肝病学会委员,北京医师协会感染病学分会理事。长期从事病毒性肝炎、自身免疫性肝病的临床和科研工作。近年参加多项国家自然科学基金、北京市自然科学基金和“十一五”、“十二五”、“十三五”传染病重大专项研究。J Clin Transl Hepatol、World J Gastroenterol、华人消化杂志、临床肝胆病杂志等编委或审稿人。发表SCI论文40余篇。
擅长:各种肝脏疾病的诊断与治疗,在全国首先提出并成立“乙肝临床治愈门诊”

王豪
坐诊时间:肝病科团队每周四、周五坐诊(具体坐诊时间以门诊排班为准)
挂号科室:北大知名专家门诊-肝病科专家门诊
主任医师,博士。自1982年起长期从事内科肝病临床工作,诊治各种内科肝病。
擅长:内科肝病。

马慧
坐诊时间:肝病科团队每周四、周五坐诊(具体坐诊时间以门诊排班为准)
挂号科室:北大知名专家门诊-肝病科专家门诊
博士,副教授,主任医师。从事肝脏疾病的医疗及教学工作30余年,擅长各种肝脏疾病的诊断及治疗。
擅长:转氨酶升高、转肽酶升高、胆红素升高、病毒性肝炎、药物性肝炎、脂肪肝、酒精性肝病、自身免疫性肝病、肝硬化及其并发症治疗。

宋广军
坐诊时间:肝病科团队每周四、周五坐诊(具体坐诊时间以门诊排班为准)
挂号科室:北大知名专家门诊-肝病科专家门诊
主任医师,医学博士,英国UCL皇家自由医院访问学者,从事肝病临床工作20年,擅长各型病毒性肝炎,尤其慢性乙型肝炎及慢性丙型肝炎的抗病毒治疗;各种原因肝硬化及肝腹水、肝昏迷、食道胃静脉曲张破裂出血等多种肝硬化并发症,食道胃静脉曲张的内镜下诊断及治疗;原发性胆汁性胆管炎、自身免疫性肝炎等自身免疫性肝病;药物性肝病、酒精性肝病及肝豆状核变性等遗传代谢性肝病的诊断及治疗。目前为北京市肝病学会青年委员、肝衰竭学组及肝癌学组委员。近年来参加了多项国家自然科学基金、“十一五”、“十二五”等重大科研项目。参译或参编了多部医学著作,如《临床循证内科学》、《哈氏内科学》、《内科学-感染科分册》、《高级免疫学》等。在JMV、JVH、CMJ、BMC Gastroenterology、中华肝脏病及临床肝胆病等杂志上发表学术论文10余篇。获得北京市科技进步二等奖一项,多次获得北京大学人民医院“优秀临床医师”、“先进工作者”等称号。
擅长:各型病毒性肝炎、肝硬化及其并发症、自身免疫性肝病、药物性肝病等各种肝脏疾病的诊断及综合治疗。

谢艳迪
坐诊时间:肝病科团队每周四、周五坐诊(具体坐诊时间以门诊排班为准)
挂号科室:北大知名专家门诊-肝病科专家门诊
北京大学临床医学博士,肝病科学科助理。作为项目负责人承担国家自然科学基金、国家级继续教育项目、北京大学人民医院院内科研基金和教学基金。担任中华医学会肝病学分会肝病相关消化病协作组成员、中华医学会肝病学分会肝病基础医学与实验诊断协作组成员、中国医师协会感染科医师分会人工肝与肝衰竭学组成员。获得北京市优秀毕业生、北京大学优秀毕业生、北京大学医学部传染病学系青年教师教课比赛一等奖、北京大学人民医院青年教师教学比赛二等奖、肝病临床思维训练营全国总决赛一等奖、多次获得学术会议优秀论文一等奖及青年研究者奖。
擅长:各种肝脏疾病的诊断和治疗。研究方向为慢乙肝的临床治愈、酒精性肝病的诊疗。

王德举
坐诊时间:每周天全天坐诊(具体坐诊时间以门诊排班为准)
挂号科室:普外科门诊/胃肠、腹壁疝外科门诊
北京大学人民医院青岛医院普外科执行主任。主任医师。曾获山东省科技进步二等奖。山东省老年医学会胃肠微创专业青年委员会委员、山东省医学会创伤外科学分会组织修复与重建委员。
擅长:腹痛鉴别、胃及大肠肿瘤的微创手术及综合治疗、微创手术各种疝气、治疗肠梗阻、体表肿物等。

彭利军
坐诊时间:每周一上午、周二上午、周四上午、周六上午坐诊(具体坐诊时间以门诊排班为准)
挂号科室:消化内科门诊
北京大学人民医院青岛医院消化内科兼内镜中心执行主任。复旦大学医学博士,副主任医师,研究生导师,博士后,欧洲维也纳多瑙医院访问学者。擅长各种胃肠肝胆疾病诊治,如萎缩性胃炎、幽门螺杆菌感染、黄疸、肝硬化、消化道出血等。毕业于复旦大学附属中山医院,掌握先进的消化内镜诊疗知识和技术。
擅长:胃肠息肉早癌内镜切除、胆管结石内镜微创取石、肝硬化静脉曲张内镜套扎介入止血、消化道癌性梗阻支架植入、内痔套扎硬化、阑尾炎内镜微创治疗、胶囊内镜等。对肝硬化及其并发症的防治有较深入的研究,在省内较早开展肝硬化食管胃静脉曲张内镜精准治疗和消化道出血急诊救治绿色通道建设。