



近日,北京大学人民医院胸外科院士团队胡立宝主任在北京大学人民医院青岛医院成功为肺结节患者实施了精准的CT引导下肺结节冷冻消融术(CA)。北大人民医院青岛医院胸部疾病中心深度依托北京大学人民医院胸外科王俊院士团队顶尖的胸部疾病综合诊疗能力,进一步为半岛地区患者带来立足前沿、覆盖全谱的个性化治疗方案。
相关病历
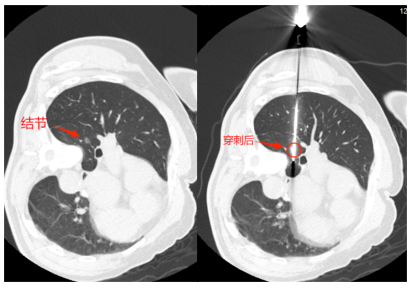
72岁老年男性患者赵先生(化名)在检查中发现双肺多发磨玻璃结节,曾行双侧胸腔镜下肺结节切除术,剩余结节随访过程中再次增大,综合考虑患者年龄、剩余肺功能情况以及结节的位置靠近血管、气管和胸膜,北京大学人民医院胸外科胡立宝主任建议行肺结节“冷冻”消融术,更安全、疼痛更轻。
治疗过程中胡主任通过CT引导精准穿刺至肺结节(仅有1cm)核心位置,在迅速降温至-196.0℃后,肺结节周围初步形成冷冻消融的界限。

△穿刺位置非常精准
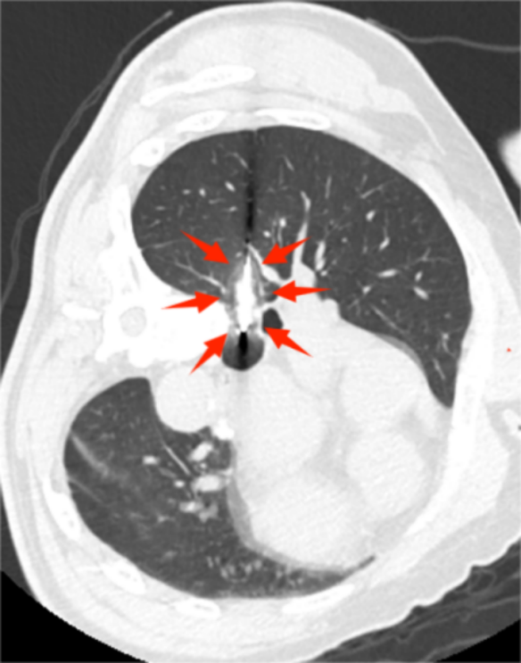
经历两次冰冻及解冻的冷热交替循环后,肺肿瘤及周围部分肺组织细胞发生不可逆的破裂坏死,同时破坏肿瘤的微血管,在CT上可见结节周围形成横径约2cm左右的冰球包裹肺结节。

△肺结节周围初步形成冷冻消融的界限

△形成横径约2cm左右的冰球包裹肺结节
整个手术过程患者完全清醒,术后仅留有针眼大小的创口,已成功出院。
0 1
什么是肺结节“冷冻”消融?
肺结节消融就是通过热消融或冷消融两种不同的方式来杀死肺部肿瘤或肺结节。目前主流的肺结节消融技术有三种:射频消融(RFA)、微波消融(MWA)和冷冻消融(CA)。

△液氮形成的低温,最低可达零下196℃
冷冻消融,顾名思义,就是利用冷冻来杀死肺部肿瘤,这种肺结节消融方式通过氩-氦气体或液氮将温度骝降至零下140-196℃,再快速升温,通过温差冻死病变组织。作为一种微创介入治疗技术,其原理是通过CT精准定位肺结节,在CT引导下将消融针逐步穿刺至肺结节中心,利用液氮形成的低温,在消融针尖段形成冰晶,并向周围蔓延以破环肺肿瘤(结节)细胞,同时低温还能阻断结节周围的血管,在减少术中出血的同时还能抑制肿瘤的再生。

△消融针尖段形成冰晶
0 2
冷冻消融的优势是什么?
冷冻消融几乎无疼痛刺激,且对肌肉及纤维结缔组织损伤轻微;更适合于肿瘤邻近疼痛敏感部位,如:胸膜≤1 cm或有骨转移引起骨质破坏的肿瘤患者;或肿瘤邻近膈肌、气管及心脏大血管等重要结构部位,更加安全。冷冻消融与药物治疗联合应用,还具有免疫协同效应。
无需全身麻醉,减少了麻醉带来的风险;对肺组织的破坏更小,保留了更多的肺功能;无需开刀,恢复更快,整个过程为清醒状态,术后既可正常活动,正常饮食。
0 3
肺结节消融技术发展迅速,但目前主要适用于
多发性肺结节患者;
高龄、心肺功能较差等无法耐受全麻手术的患者;
结节位置较深的磨玻璃结节,手术切除范围过大,经由胸外科医生权衡利弊后可考虑消融治疗;
既往曾有过肺部手术史,剩余肺组织不足以耐受再次手术的患者;
惧怕手术,重度焦虑的患者可选消融治疗。
注意
虽然肺结节消融作为手术、放疗之后的第三大局部治疗手段。能够高效、微创的杀灭肺部肿瘤(结节),改善患者的生活质量,为患者提供了新的治疗希望。但是对于可手术的早期肺结节,经由胸外科大夫评估后可耐受手术的患者,仍然建议首选手术治疗。
胸外科简介
北京大学人民医院青岛医院胸部疾病中心依托北京大学人民医院胸外科王俊院士团队的先进医疗技术和服务能力,形成了以胸腔镜微创手术、胸部肿瘤综合治疗为主要特色的临床科室。学科带头人为北京大学人民医院胸外科主任医师李剑锋教授,北京大学人民医院胸外科周足力教授、杨锋教授、周健教授等专家开展门诊、查房、手术、带教等工作,对于肺部肿瘤,如肺癌、胸腺瘤、胸腺癌、食管癌以及胸部其它特殊类型肿瘤的治疗则由燕翔教授制定内科药物治疗方案。对于不能耐受手术或不适合手术的肺结节患者,由胡立宝教授领衔开展介入消融治疗。
科室与北京大学人民医院胸外科实施同质化管理。建立线上多学科会诊制度,每周开展线上大查房,借助北京大学人民医院肺癌中心肿瘤内科、放疗科、介入科及病理科等专业的专家资源,开展远程预约、远程会诊、双向转诊等远程医疗服务,打造胸部微创外科专业化诊疗团队、肺癌“一站式”诊疗团队、胸部肿瘤多学科全病程管理团队和胸外科加速康复外科治疗团队,为患者提供“院士团队”同质量的一站式、一体化优质诊疗服务。
专家简介
·


李剑锋 隔周坐诊,胸外科专家门诊每周均有专家坐诊 (具体坐诊时间以门诊排班为准)
挂号科室:北大知名专家门诊-胸外科专家门诊
主任医师,北京大学人民医院青岛医院胸部疾病中心主任。
擅长: 肺癌、食管癌、纵隔肿瘤的微创及开胸复杂手术,胃食管反流病的腹腔镜胃底折叠手术。

周足力 隔周坐诊,胸外科专家门诊每周均有专家坐诊 (具体坐诊时间以门诊排班为准)
挂号科室:北大知名专家门诊-胸外科专家门诊
主任医师,医学博士,北京大学人民医院胸外科行政副主任。
擅长:胸外科专业。肺结节和肺癌鉴别诊断,尤其擅长胸腔镜下肺癌的微创手术治疗。在食管癌、纵隔肿瘤和肺转移瘤等一些有难度的胸外科疾病均采用微创胸腔镜手术进行治疗。


杨锋 具体坐诊时间以门诊排班为准
挂号科室:北大知名专家门诊-胸外科专家门诊
副主任医师,医学博士,北京大学人民医院保健处处长。
擅长:肺部微小结节的早诊早治,胸部疾病的微创外科治疗及多学科综合治疗,肺结节定位及荧光胸腔镜等。


胡立宝 具体坐诊时间以门诊排班为准
挂号科室:北大知名专家门诊-胸外科专家门诊
副主任医师,医学博士,北京大学人民医院肺癌中心副主任。
擅长:胸部肿瘤经皮穿刺活检及消融治疗、肺小结节术前穿刺定位、肺癌及实体肿瘤经动脉化疗栓塞、咯血及肺动静脉畸形介入栓塞治疗等。


周健 具体坐诊时间 以门诊排班为准
挂号科室:北大知名专家门诊-胸外科专家门诊
山东青岛人,副 主任医师,医学博士,北京大学人民医院胸外科学科助理。
擅长 :肺癌、肺结节、肺磨玻璃(毛玻璃)影的诊断及微创治疗,胸腺瘤及合并重症肌无力的多学科诊治。从事肺癌、食管癌、纵隔肿瘤的微创治疗及肿瘤综合治疗。


王海文 周一、周三坐诊 (具体坐诊时间以门诊排班为准)
挂号科室:胸外科、肺结节门诊或肺结节消融门诊
北京大学人民医院青岛医院胸外科执行主任,主任医师
擅长:肺结节(肺癌)、纵隔肿瘤,食管肿瘤,胸廓畸形的诊断和治疗,特别是在肺结节的诊断和治疗方面有丰富的经验。