


2025年4月,北京大学人民医院胸外科“院士团队”强势进驻青岛市城阳人民医院,李剑锋教授、周足力教授、杨锋教授、周健教授、翁文翰教授、陈修远教授六位顶尖专家常态化开展门诊、手术、教学、科研等全方位服务,让本地百姓无需远赴北京,即可享受到与国内顶尖胸外科中心同质化的医疗服务。
65岁的方女士(化名)在常规体检中发现左肺下叶存在一个直径约61×49mm的巨大占位性病变,性质难定,为了寻求更信赖的专家手术,她慕名找到北京大学人民医院定期驻诊的胸外科院士团队周足力教授。凭借丰富的经验、精湛的技术和对患者高度负责的人文关怀,周足力教授联合青岛市城阳人民医院胸外科团队成功为她实施了高难度、高精准度的胸腔镜下左肺下叶背段切除术,为患者实现了创伤最小、肺功能保全最佳的个性化治疗,再次彰显了国家级优质医疗资源下沉基层的显著成效。
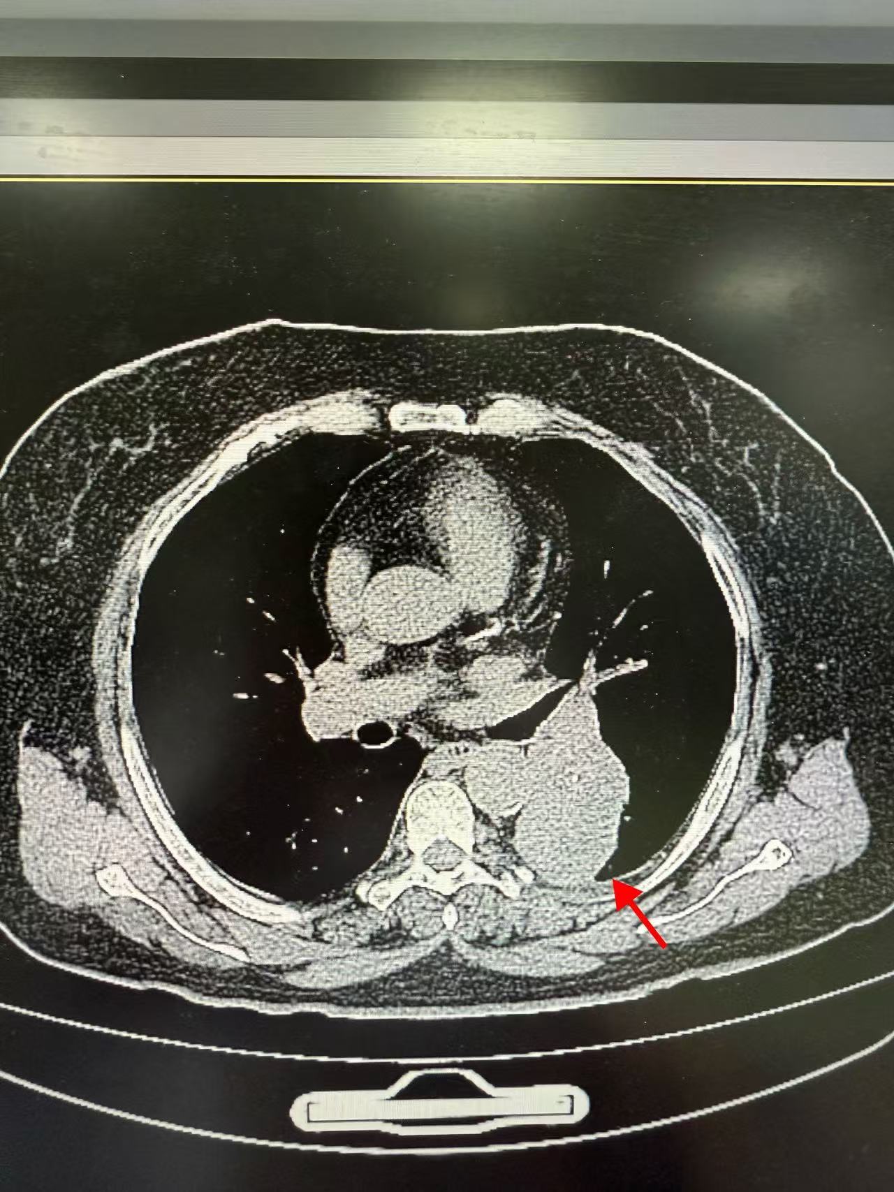
病情复杂——巨大占位近肺门,结构关键,性质难定
65岁的方女士在常规体检中发现左肺下叶存在一个直径约61×49mm的巨大占位性病变,且位置紧邻肺门,结构关键。


“患者病变最重要的问题是它长在了肺的“大门”边上——进气排气的支气管、输送血液的动静脉都必须通过肺门进出,一旦肿瘤放任不管,很容易造成压迫与堵塞导致肺叶萎缩、反复肺炎,造成肺功能不可逆的受损,甚至挤压血管,突然出现破裂或坏死,可能引起大咯血”,青岛市城阳人民医院胸外科主任蓝新颜介绍。
虽然穿刺活检病理初步提示为“较成熟软骨组织及纤维组织,未见恶性肿瘤成分”,由于病灶体积巨大、位置特殊,且穿刺取材范围有限,临床上仍无法完全排除潜在恶性可能。
为了更好的治疗,患者和家属打听到北大人民医院胸外科院士团队周足力教授定期到城阳人民医院坐诊、手术等,第一时间预约了他的北大知名专家门诊,周足力教授与青岛市城阳人民医院胸外科团队深入讨论,一致认为需进行手术探查且治疗指征明确。
以往面对此类治疗时多需行左肺下叶整体切除,但考虑到患者占位性质难辨,一旦手术探查中快速病理为良性,此术式可能会遗留下肺功能永久性损失、增加心肺负担等风险,为此周足力教授和医院胸外科团队综合研判,制定了两套个性化治疗方案:
如术中快速病理结果为恶性,进行左肺下叶整体切除病灶,以根除疾病为主;
如术中快速病理结果为良性,考虑到患者年龄,需最大程度地保留健康肺组织、维护术后肺功能和生活质量,施行精准的左肺下叶背段切除术。
术中决策——以患者为本,挑战技术极限,化繁为简
手术如期进行,周足力教授在胸腔镜探查中,凭借其敏锐的洞察力,发现胸腔内无胸水及胸膜转移,病灶位于左肺下叶背段,突出肺表面,并伴有部分钙化,结合其丰富的临床经验,他高度怀疑为良性错构瘤,术中快速冰冻病理检查结果也证实了其判断——良性病变。
立即启动备选方案,尽管病灶紧贴肺门,解剖复杂,手术操作空间小、难度极大,但为了患者的长期获益,周足力教授果断挑战技术极限,和医院胸外科团队共同施行精准的左肺下叶背段切除术。

(北大人民医院周足力教授手术照片)
在胸腔镜提供的清晰视野下,周足力教授操作沉稳而精准,仔细分离、精准切断靶段肺的血管、支气管,完整移除了包含巨大占位的背段肺组织,同时完好保留了健康的其余肺段。手术过程流畅顺利,术中出血量仅为20毫升,将创伤降至极低水平。
术后常规病理确诊为“软骨瘤性错构瘤”,与周足力教授的术中判断及冰冻结果完全一致。
快速康复——精准治疗 患者3天后顺利出院
由于手术精准微创,患者恢复迅速,疼痛轻,术后第二天即可下床活动,住院仅3天便顺利康复出院。“非常感谢周足力教授和医院胸外科大夫,让我能在家门口就能找到北大专家做手术,肿瘤是良性的,我们也长长舒了口气!”方女士及其家属对治疗结果非常满意,由衷感谢周足力教授及城阳人民医院胸外科团队以高超技术免除了她更大的手术创伤,守护了她的呼吸健康。
专家引领——不用远赴北京 家门口的“国家队”医疗
本例高难度手术的成功实施,是北大人民医院胸外科院士团队将国内顶尖胸外科理念与技术带入城阳人民医院的生动体现。充分展示了:
精准的诊断与决策能力:
不依赖单一检查,结合影像、病理与术中探查,做出最有利于患者的判断。
高超的微创手术技巧:
在复杂位置实施极限肺段切除,体现了胸腔镜手术的“艺术境界”。
以人为本的治疗理念:
始终将患者的远期生活质量和功能保全放在首位,敢于并能够为患者选择最优但最具挑战性的方案。
手术在家门口做,患者不用两地跑,北大人民医院胸外科院士团队顶尖医疗技术成为岛城居民最安心的“医靠”,同时在院士团队的深耕引领下,青岛市城阳人民医院胸外科团队,不断攻坚克难,在肺结节精准诊疗、肺癌微创手术、复杂纵隔肿瘤切除等领域持续突破,致力于为辖区及周边地区居民提供更安全、更精准、更温暖的胸部疾病诊疗服务,真正锻造出一支“带不走的高水平队伍”,持续守护区域百姓健康。
专家介绍
李剑锋
北京大学人民医院胸外科主任医师,北京大学人民医院青岛医院胸部疾病中心主任。
擅长:肺癌、食管癌、纵隔肿瘤的微创及开胸复杂手术,胃食管反流病的腹腔镜胃底折叠手术。
周足力
北京大学人民医院胸外科主任医师,医学博士。
擅长:肺癌和食管疾病微创手术治疗,肺转移瘤的外科治疗。能胜任以胸腔镜为主的各类胸部微创手术,对胸部良、恶性疾病的诊断和治疗有丰富经验。
杨锋
北京大学人民医院保健处处长,保健病房主任,国际医疗部主任,副主任医师,医学博士。
擅长:胸部疾病的外科治疗,肺癌的微创手术及多学科综合治疗,肺部微小结节的早诊早治,纵隔肿瘤及食管良恶性疾病治疗及荧光胸腔镜等技术。
周健
北京大学人民医院胸外科副主任医师,医学博士。
擅长:肺癌、肺结节、肺磨玻璃(毛玻璃)影的诊断及微创治疗,胸腺瘤及合并重症肌无力的多学科诊治。从事肺癌、食管癌、纵隔肿瘤的微创治疗及肿瘤综合治疗。
翁文翰
北京大学人民医院胸外科副主任医师,医学博士。
擅长:肺结节,磨玻璃结节,胸腔镜微创手术,肺癌、食管癌、纵隔肿瘤等胸部肿瘤手术及综合治疗,手汗症、气胸、肺大泡等胸部良性疾病的诊断与手术治疗。
陈修远
北京大学人民医院胸外科副主任医师。
擅长:肺部磨玻璃结节的风险评估与精准微创切除,III期肺癌的围手术期免疫、靶向、化疗等综合治疗和微创手术,人工智能辅助肺癌诊疗,多模态影像与手术融合导航。
蓝新颜
青岛市城阳人民医院胸心血管外科主任,副主任医师。
擅长:熟练掌握胸外科常见病及多发病的处理,尤其在肺小结节诊治上有着丰富的临床经验。