


腰痛伴下肢放射痛,是现代社会中困扰众多人群的常见健康问题,严重影响着患者的生活质量与工作效率。其中,腰椎间盘突出症是导致此类症状的主要原因之一,它是由于腰椎间盘的纤维环破裂,髓核组织突出或脱出,压迫或刺激相邻的脊神经根,从而产生以腰腿痛为主要表现的临床综合征。
有统计表明,我国腰椎间盘突出症患者总数超过2 亿人,中老年人群中超过九成患有脊柱疾病,腰椎间盘突出症患者年轻化、低龄化趋势突出,患病率较高,我们熟知的著名篮球运动员周琦,明星张艺兴、毛阿敏均是腰椎间盘突出症的受害者。
精准医疗,守护脊柱健康
目前手术治疗腰椎间盘突出症的金标准仍然是椎间盘切除椎间融合,但并不适用于所有椎间盘突出病人,脊柱内镜手术应运而生,从最初的单通道椎间孔镜技术到如今的“单侧双通道内镜技术(Unilateral Biportal Endoscopy, UBE)”、“OSE”等技术,能更精准的摘除突出椎间盘,且为手术带来了更大的显露视野和手术操作空间,其优点在于创伤小、患者术后恢复快、疗效确切,适合年轻初发有手术指征的椎间盘突出患者,为腰椎间盘突出症患者带来更多治疗选择。
青岛市城阳人民医院脊柱外科紧跟椎间盘突出治疗前沿发展,从最初的脊柱内镜椎间孔镜技术到目前的单侧双通道内镜技术(UBE)技术,逐渐走出了一条特色、成熟的治疗椎间盘突出患者标准化安全有效的治疗路线。尤其是医院脊柱外科与北大人民医院骨科院士团队深入合作,进一步提高了各类脊柱内镜技术治疗水平,使脊柱外科在治疗腰椎间盘突出症脊柱内镜技术领域迈上了新台阶。
腿麻、腰痛、难行走 39岁女子患腰椎间盘突出症
39岁的李女士(化名)因持续一个月的“腰痛伴左下肢麻木疼痛”到青岛市城阳人民医院脊柱外科寻求治疗,接诊医生查体发现疼痛自左侧臀部沿大腿后外侧向足部放射,并伴有麻木感,是坐骨神经受压迫的经典表现。
坐骨神经是人体最粗大的神经,其受压后产生的放射性疼痛、感觉异常(如麻木、过敏)、甚至肌肉力量下降,常令患者坐立难安,严重影响行走、睡眠等基本活动,结合李女士的病情,初步诊断为腰椎间盘突出症引发的坐骨神经痛,遂入院治疗。
入院后,专科检查显示左下肢直腿抬高试验及加强试验在30度即呈阳性,是神经根受到牵拉刺激的明确体征。结合腰椎核磁共振(MRI)这一“金标准”影像学检查,清晰显示腰5-骶1节段左侧椎间盘突出,并压迫到左侧神经根,诊断明确。对于经系统保守治疗,如休息、药物治疗、康复理疗等无效,或症状严重、出现神经功能损害迹象的患者,手术干预是解除压迫、根治症状的有效手段。


术前腰椎正侧位及动力位片

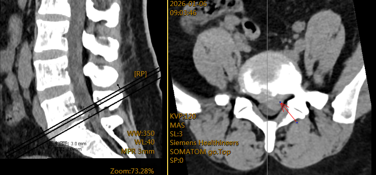
术前腰椎间盘CT示腰5-骶1椎间盘左侧突出,并伴有部分骨化

术前腰椎MRI平扫示间盘CT示腰5-骶1椎间盘左侧突出,压迫左侧神经根
技术革新:脊柱内镜手术精准微创解病痛
鉴于患者的年龄以及具体的病情,脊柱外科综合研判,决定选择UBE手术为李女士解除病痛。
青岛市城阳人民医院脊柱外科主任李亮介绍,UBE技术,即单侧双通道内镜技术,通过患者背部两个约1厘米的微小切口和通道进行操作,一个通道用于置入内镜照明和成像系统,提供清晰、放大的手术视野;另一个通道用于置入各种精细的器械,进行椎间盘切除、神经根减压等操作。这种双通道分离的设计,带来了显著优势:
视野开阔,操作灵活:
高清视野,操作角度更广,器械活动范围更大,尤其对于复杂类型的突出、合并椎管狭窄或需要镜下融合的病例,操作起来更加得心应手。
创伤微小,恢复快:
仅需小切口,对腰背部肌肉、韧带等稳定结构的损伤极小,最大程度保留了脊柱的稳定性。术中出血少,术后疼痛轻,大大缩短卧床时间,加速了康复进程,提高了生活质量。
减压彻底,疗效确切:
在清晰视野下,能够精确辨识并保护神经根、硬膜囊等重要结构,同时实现对突出髓核的彻底摘除以及对神经根的充分减压,疗效确切。
相较于其他微创技术,UBE技术兼具了内镜手术的微创优势和开放手术的视野及操作便利性,适应症更广,是腰椎间盘突出症,特别是中重度突出、脱出、游离型突出以及合并侧隐窝狭窄等情况的理想微创解决方案。

完善术前准备,脊柱外科李亮主任团队顺利为李女士实施了微创手术,手术顺利完成,神经减压充分,术后患者症状显著改善,术后两天便佩戴腰围下地自主活动,目前已顺利出院。
团队成长:北大名医指引下稳健前行
2025年4月起,青岛市城阳人民医院骨科与北京大学人民医院骨科院士团队开展深度合作,将北京大学人民医院严谨规范与完整服务体系深度植入医院,在脊柱外科常态化驻诊的医生是国内脊柱内镜知名专家熊建教授,熊建教授在UBE技术方面造诣深厚,拥有丰富的临床经验和教学经验,在他的悉心指导和带教下,医院脊柱外科团队在UBE的理论培训、模型演练到临床实操,核心要领、操作技巧到围手术期管理规范以及解决复杂、高难度病例,都得到了飞跃式的进步和提升。
同时,与北京大学人民医院骨科院士团队的深入合作,意味着本地区及周边的脊柱疾病患者,无需远赴北上广等医疗中心,在家门口就能享受到国内领先的脊柱内镜技术服务。
精准医疗护航 持续精进技术 惠及更多患者
青岛市城阳人民医院脊柱外科在腰椎间盘疾病治疗方面实现了从开放手术到以脊柱内镜手术技术解决复杂、疑难病例的全面发展,从术前精准评估、手术方案个体化制定,到术中娴熟操作、术后科学康复指导,已建立起一套成熟完整的腰椎间盘疾病的诊疗流程,科室践行“以患者为中心”、不断追求医疗技术进步和服务能力提升的发展理念,秉持严谨、创新的精神,为更大脊柱疾病患者提供更适合个体、更微创的诊疗技术,为受腰腿痛折磨的人群解除病痛。
下一步,脊柱外科团队将进一步深入与北大人民医院骨科院士团队等国内知名专家团队合作,深入学习,精进技术,优化服务,为每一位脊柱疾病患者提供最适宜、最先进、最安全的个性化诊疗方案,帮助更多患者摆脱病痛,挺直腰板,自信地迈向健康、高质量的新生活!
专家支招
这样预防腰椎间盘突出症
01坐站有样,定时活动:
避免久坐久站。坐时腰背挺直,用腰靠;每30-45分钟必须起身活动。绝对不要直接弯腰搬重物,务必屈膝、直腰,用腿发力。
02强化核心,勤做锻炼:
日常加强腰腹背肌锻炼,推荐每天做“臀桥”和“小燕飞”这两个基础动作。游泳和快走也是很好的运动。
03控制体重,睡硬板床:
减轻体重以降低腰椎负担。选择硬度适中、能支撑脊柱生理曲线的床垫,避免睡过软的床。
专家介绍
熊建

主任医师,北京大学人民医院骨科医学博士。
擅长:腰腿痛、颈腰椎疾病的诊断及手术治疗;脊柱、脊髓损伤的诊断与治疗;擅长脊柱微创手术(脊柱椎间孔镜、UBE技术等)。
挂号科室:北大名医——脊柱外科
坐诊时间:周五下午(具体坐诊时间以门诊排班为准)
李亮

青岛市城阳人民医院脊柱外科主任,主任医师。
擅长:在脊柱疾病诊治方面经验丰富,擅长脊柱各类开放手术、颈腰椎微创手术以及UBE、MIS-TLIF、OSE、椎间孔镜等脊柱内镜下微创治疗腰椎间盘突出及腰椎管狭窄症等各类疾病。
挂号科室:外科——脊柱外科
坐诊时间:周三全天、周五全天(具体坐诊时间以门诊排班为准)